A cracked tooth can be a source of discomfort and concern, as the damage to a tooth is permanent. A crack may allow bacteria to enter the inner soft tissue, known as the pulp, potentially leading to irritation or infection. Prompt evaluation by a dental professional is recommended to determine the extent of damage to cracked teeth and the appropriate course of action.
What Are Cracked Teeth?
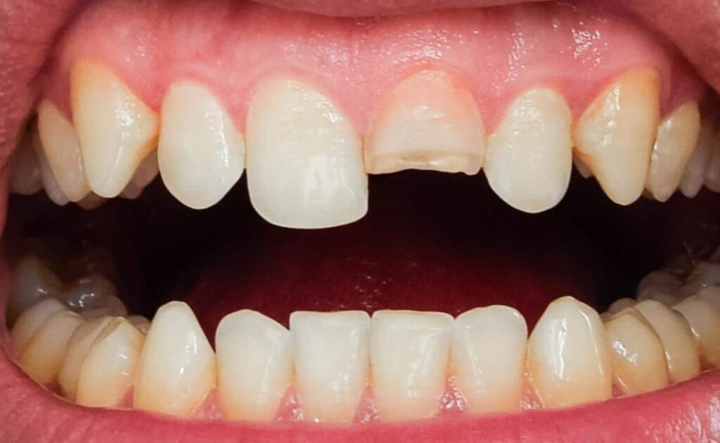
Cracked teeth refer to teeth that have developed a fracture, varying in size, depth, and location. They may appear as small, hairline fractures on the outer enamel or extend deeper into the tooth structure toward the root. The causes are varied and can include chewing on hard objects, trauma from an accident or sports injury, and pressure from teeth grinding or clenching.
Symptoms of a cracked tooth are not always consistent. Some individuals may experience erratic pain when chewing. Sensitivity to hot, cold, or sweet foods and drinks is another common sign. The pain can come and go, making it difficult for a person to identify which tooth is affected. A crack may produce no symptoms at all and only be discovered during a routine dental examination.
What Are the Types?
Dentists classify cracked teeth based on certain factors, such as the location and severity of the fracture. Understanding the specific type of crack helps determine the most effective treatment plan that a dentist can implement. Fracture types include:
- Craze Lines: Craze lines are very small, shallow cracks that affect only the outer enamel of the tooth. These lines are a cosmetic issue and usually do not require treatment beyond observation.
- Fractured Cusp: When a piece of a tooth’s chewing surface breaks off, it is called a fractured cusp. It may not cause much pain because the fracture typically does not extend to the pulp.
- Cracked Tooth: This term describes a crack that extends from the chewing surface toward the root. Early diagnosis and treatment are beneficial to prevent the crack from progressing.
- Split Tooth: A split tooth is often the result of an untreated cracked tooth. The crack has descended to the root, separating the tooth into two distinct segments.
- Vertical Root Fracture: These cracks begin in the root of the tooth and extend upward toward the chewing surface. They often show minimal signs and symptoms and may go unnoticed for some time.
Treatment for a cracked tooth depends on the type, location, and extent of the fracture.
How Are They Treated?
After a thorough examination, a dentist will recommend a suitable procedure. A dentist can often place a new filling or a crown. A crown is a dental cap that covers the entire tooth and restores its shape, size, strength, and appearance. If a crack has reached the pulp, root canal therapy can be necessary.
A split tooth presents a more complex situation, as it may not be possible to save the entire tooth. A dentist can save a portion of the tooth, depending on the position and extent of the fracture. This would involve endodontic treatment and a restorative procedure. In many cases, extraction is the only option.
Meet With Your Dentist
Diagnosing and treating a cracked tooth requires professional dental expertise. If you experience symptoms such as pain when chewing or sensitivity to temperature, scheduling an appointment with your dentist is a proactive step. An early diagnosis may lead to more conservative treatment options and facilitate a better outcome for the tooth. Your dentist can perform a complete evaluation and create a personalized treatment plan to restore your dental health.

